Back To Galleries
Brow Lift Patient 11










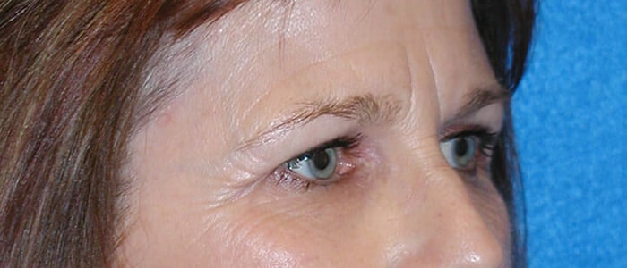
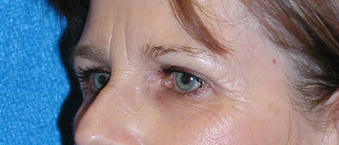
Brow Lift Patient 12










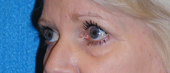
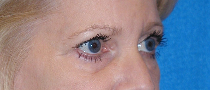
Brow Lift Patient 13










Brow Lift Patient 14










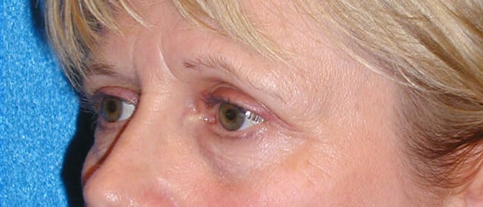
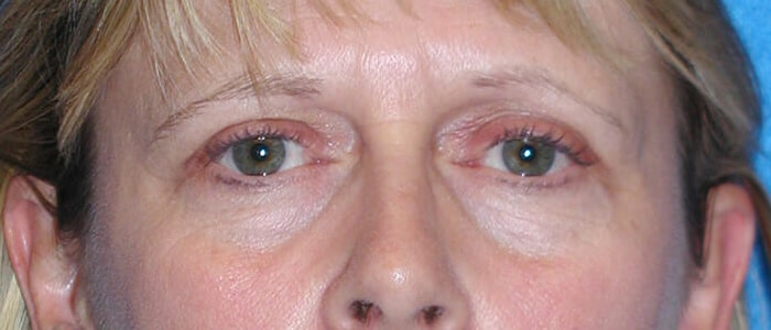
Brow Lift Patient 15










Brow Lift Patient 16










Brow Lift Patient 17










Brow Lift Patient 18










Brow Lift Patient 19










Brow Lift Patient 20









