Skip to main content
MENU
MENU
Home
About
About Dr. Green
Curriculum Vitae
Why Dr. Green
Plastic Surgery Staff
Patient Stories
Blog
Cosmetic Surgery
Face Procedures
Facelift
Neck Lift
Brow Lift
Rhinoplasty
Eyelid Surgery
Chin Augmentation
Ear Pinning
Facial Fat Grafting
Body Procedures
Tummy Tuck
Mommy Makeover
Bariatric Surgery
Butt Augmentation
Lower Body Lift
Thigh Lift
Arm Lift
Body Liposuction
Labiaplasty
Breast Procedures
Breast Augmentation
Breast Enlargement Options
Breast Lift
Breast Reduction
Gynecomastia Surgery
Breast Reconstruction
Breast Revision
Non-Surgical
Cosmetic Injectables
Hair Transplant
Medical Weight Loss
Photo Gallery
Video Gallery
Resources
News
Patient Forms
Plastic Surgery FAQ
Financing
Contact Us
Virtual Consultation
Plastic Surgery Office
Sacramento & Granite Bay
Spanish
Menu
Gallery
Directions
Contact
Sacramento & Granite Bay
(916) 909-1775
Dr. Scott Green
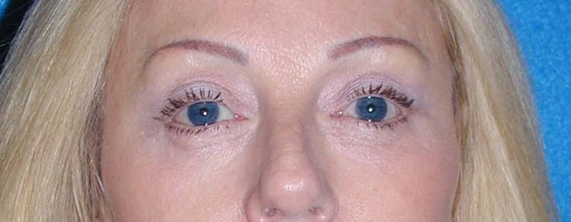
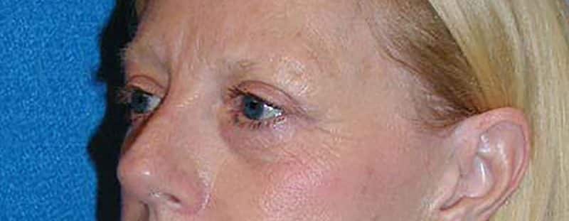
Brow Lift Patient 08
×
Call Us
Sacramento Phone
Granite Bay Phone
×
Get Directions
Sacramento Location
Granite Bay Location
Back To Brow Lift Gallery
Previous Patient
Next Patient